







خدمات مرکز تخصصی ارتودنسی و زیبایی دکتر خسروی
ارتودنسی ثابت
ارتودنسی نامرئی
ارتودنسی کودکان
ارتودنسی بزرگسالان
ارتودنسی بزرگسالان
ارتودنسی کودکان
ارتودنسی نامرئی
ارتودنسی ثابت
چرا باید ما را انتخاب کنید؟
خدمات تخصصی
دکتر ستاره خسروی ، متخصص ارتودنسی و درمان ارتودنسی متحرک و ثابت، عضو هیئت علمی دانشگاه و دارای بورد تخصصی، عضو انجمن ارتودنتیست های ایران و نظام پزشکی ۱۳۸۳۲۰، انواع متدهای ارتودنسی نامرئی، درمان بیماران نیازمند ارتودنسی و جراحی(ارتوسرجری)، درمان نامرتبی دندانها و ناهنجاری های فک از کودکی تا بزرگسالی، درمان بیماران دارای شکاف لب و کام
کادر مجرب و حرفه ای
این مرکز از بهترین متخصصین دندانپزشکی متخصص ارتودنسی ، متخصص ایمپلنت و اساتید دانشگاه شهر تهران تشکیل شده است، که به لطف خدا توانسته ایم مجموعه ای متشکل از نیروهای جوان و با سابقه ، بهترین درمانهای دندانپزشکی را با هزینه مناسب، به شما عزیزان هدیه بدهیم. هدف مرکز ما انجام کلیه درمانهای تخصصی دندانپزشکی در یک مرکز واحد است.
تجربه و تخصص
دکتر ستاره خسروی هستم در سال ۱۳۸۵ با رتبه ی ۴۰۰ در رشته ی دندانپزشکی عمومی پذیرفته شدم و هنوز دوره ی عمومی را به پایان نرسانیده بودم که در آزمون تخصصی دندانپزشکی شرکت کردم و موفق شدم بهترین رتبه ی ورودی خود را در آن سال کسب کنم و در بهترین و برترین رشته ی تخصصی دندانپزشکی یعنی ارتودنسی قبول شوم. دندانپزشکی ۱۱ رشته ی تخصصی دارد که هر ساله تقریبا تمام رتبه های تک رقمی ،رشته ی ارتودنسی را به عنوان رشته ی تخصصی خود انتخاب می کنند.
به مرکز تخصصی ارتودنسی و زیبایی دکتر خسروی خوش آمدید.
این مرکز از بهترین متخصصین دندانپزشکی متخصص ارتودنسی ، متخصص ایمپلنت و اساتید دانشگاه شهر تهران تشکیل شده است، که به لطف خدا توانسته ایم مجموعه ای متشکل از نیروهای جوان و با سابقه ، بهترین درمانهای دندانپزشکی را با هزینه مناسب، به شما عزیزان هدیه بدهیم. هدف مرکز ما انجام کلیه درمانهای تخصصی دندانپزشکی در یک مرکز واحد است.
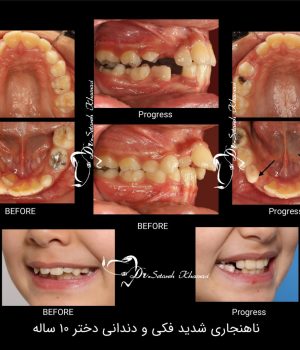
برخی از نمونه درمان ها
نوبت خود را رزرو کنید
می توانید از این ناحیه به راحتی نوبت مراجعه خود به کلینیک را رزرو کنید.
رزرو نوبت






















